MAMOPLASTIA

MAMOPLASTIA DE AUMENTO CON IMPLANTES MAMARIOS

IMPLANTES DE SILICONA PARA AUMENTO DE SENO.

El aumento de senos, o mamoplastia de aumento, es uno de los procedimientos de cirugía plástica más comunes que se realizan hoy en día. Es la cirugía plástica mas consistente, mas predecible y con resultados mas inmediatos.Con el transcurso del tiempo, factores tales como la edad, la genética, el embarazo, los cambios en el peso corporal, la exposición al sol y la gravedad pueden provocar cambios en la forma y el tamaño de los senos. Mediante este procedimiento, aquellas mujeres que no están satisfechas con el tamaño de sus senos o que han experimentado cambios en su aspecto, pueden lograr que éstos se vean más rellenos y con mejor forma. Durante el aumento de senos, se coloca un implante dentro de un bolsillo que se forma debajo del tejido mamario. Esto puede contribuir a aumentar o equilibrar el tamaño del seno, recuperar su volumen, o la forma que éste tenía luego de una pérdida parcial o total.
Pero es importante tener en cuenta que independientemente de la garantía ("de por vida'') que ofrezcan la empresas que fabrican los implantes habrá siempre factores que dependen del paciente que harán que sea necesario cambiar los implantes en algún momento de la vida y muy posiblemente la "garantía" no aplicará.
La calidad de las prótesis es fundamental, así como la seriedad de las empresas que fabrican y distribuyen los implantes.
No es raro que se prometa mucho al momento de vender y luego cerrar la empresa cuando surgen los problemas y ya se ha ganado lo suficiente (como paso con las prótesis PIP francesas.
Hay tres factores que el cirujano no puede controlar a pesar de tomar todas las precauciones: infección, cicatrización (cápsula) , laxitud de la piel.

10 PREGUNTAS Y RESPUESTAS SOBRE LOS IMPLANTES MAMARIOS


CAUSAN CANCER DE SENO?
EL LINFOMA ANAPLASICO DE CELULAS GIGANTES ES UN TIPO DE CANCER?
CUAL ES MEJOR IMPLANTE, EL TEXTURIZADO O EL LISO?
CUAL ES EL IMPLANTE QUE COLOCA HOY?
PORQUE SIGUE USANDO IMPLANTES MAMARIOS?
QUE TAL EL MICROTECTURIZADO?
TIENE ALGUN CONFLICTO DE INTERES?
SI TENGO TEXTURIZADOS ME LOS DEBO RETIRAR?
CUAOES IMPLANTES RETIRO LA FDA DEL MERCADO EN JULIO DEL 2019?
CUAL IMPLANTE TIENE GARANTIA DE POR VIDA?

TAMAÑO DEL IMPLANTE

El tamaño final del seno dependerá de la cantidad de seno que tiene la paciente antes de la cirugia y del tamaño del implante.Con frecuencia la paciente tiene un numero de implante en la cabeza basandose en lo que ha visto en otras mujeres, pero es muy difícil saber si ese implante le va dar el tamaño deseado, pues no sabe como tenia el seno antes de la cirugía.
En los siguientes cuatro ejemplos podemos ver como el tamaño del implante y del seno previo a la cirugía terminan definiendo el tamaño final .

ANTES Y DESPUES IMPLANTES DE 260 CC


ANTES Y DESPUES IMPLNATES DE 410 CC



ANTES Y DESPUES IMPLANTES 220 CC


ANTES Y DESPUES IMPLANTES DE 340 CC


INCISIONES PARA IMPLANTAR LA PROTESIS

Los implantes se pueden colocar a través de diferentes incisiones.
  • Peri areolar: en los 180 grados inferiores del borde entre la areola y la piel del seno.
  • Inframamaria: en el surco mamario inferior. Ideal para personas muy blancas con una transición entre la areola y la piel no muy definida. Es con la que se ha reportado menos contractura capsular.
  • Axilar: buena via, pero es mas frecuente la mala posición del implante, con la que se ha reportado mas contractura capsular y cuando la paciente levanta los brazos se podría ver la cicatriz.

La vía que mas se utiliza en nuestro medio teniendo en cuenta nuestras características étnicas es la peri-areolar. Pues por la pigmentación queda mas escondida. Si la areola es muy pequeña se va a maltratar la piel y se va a demorar en cicatrizar pero se puede casi siempre. La ventaja de la vía peri areolar es que se puede colocar el implante en buena posición y los procedimientos secundarios se hacen por esa vía. Otro problema es que tiene una incidencia un poco mayor de cambios de la sensibilidad del complejo areola pezón.
En las siguientes fotografías se puede ver el cambio después de colocar unos implantes de 550 cc a través de una incisión peri-areolar (los 180 grados inferiores de la areola)

IMPLANTE MAMARIO VIA AREOLAR

IMPLANTE MAMARIO VIA SURCO MAMARIO

IMPLANTE MAMARIO VIA AXILAR

EVOLUCION DEL IMPLANTE


La forma del seno va cambiando a medida que pasan los años. La gravedad y los embarazos van modificando la forma del seno con implante o sin implante. Las fotos a continuación muestran la evolución de los implantes a lo largo del tiempo. Antes de cirugia. Al mes de realizada la cirugia on implantes de 340 cc. Y 8 años después de la cirugia y después de tener un hIjo.

UBICACION Y FORMA DEL IMPLANTE

Esquema que muestra la ubicación de la prótesis en el plano dual clásico.
El músculo cubre la porción superior u anterior de la prótesis pero la glandula mamaria la porción inferior, esto le da una apariencia mas natural al seno sin necesidad de usar implantes “anatómicos o en gota”.
Fotos antes y después cirugia, paciente de 22 años de edad a quien se le colocaron implantes de 260 cc por via sub-areolar en plano dual.

FORMA DEL SENO

La forma del seno y la posición relativa del complejo areola pezon se puede controlar en gran medida con la posición del implante.
En este esquema vemos la forma "clásica del seno" con un polo superior (S) que corresponde a un 45% y un polo inferior (I) al 55%.
En un estudio realizado en la población colombiana encontramos que los cánones estéticos deseados después de una cirugia de implantes mamarios son diferentes. Las proporciones que el grupo estudiado encontró mas atractivas fueron la 50-50 0 55-45.
A continuation podemos ver la variación de las proporciones utilizadas para el estudio, dichas imágenes se pueden utilizar para definir cual es la forma de seno que quiere la paciente.

Fuente: ANALISIS MORFOMETRICO DE SENO IDEAL EN LA MUJER POSTERIOR A IMPLANTES MAMARIOS. REVISTA COLOMBIANA DE CIRUGIA PLASTICA Y RECONSTRUCTIVA. 2016. 22: 2, 17-41. Autores: Carvajal C, Bermúdez L, Riveros ML.

IMPLANTES PARA PTOSIS

El seno caído (ptosis) crea un conflicto, dependiendo del grado de ptosis.
Para obtener un levantamiento optimo lo ideal es la mamopexia que deja cicatrices adicionales en el seno.
Los implantes pueden ser una muy buena opción para senos que están un poco caídos (grado 1) y que requieren de aumento. Se colocan en el plano dual con una modificación (Tebbets II).
En esta paciente se logro el objetivo, pero si uno es realista la forma del seno no es la ideal (proporcion 55/45) el pezon esta arriba del surco pero mirando un poco hacia abajo. Sin embargo la paciente quedo satisfecha porque entendía que las otras opciones implicaban cicatrices adicionales en el seno.

COMPLICACIONES DE LOS IMPLANTES MAMARIOS

CAMBIO DE TAMAÑO DEL IMPLANTE

Fotos de paciente a quien le coloqué implantes de 260 cc inicialmente (la paciente insistió en que no quería unos implantes grandes a pesar de mi recomendación). Debido a que no quedo satisfecha, se le cambiaron a los 6 meses por unos implantes de 340 cc. No se justificaba aumentar menos de 80 cc.

CAMBIO DEN LA POSICION Y TAMAÑO DEL IMPLANTE

Implantes retro pectorales de 340 cc. La forma del seno es anormal, el polo inferior desocupado.
Implantes plano dual de 525 cc. Forma mucho mas natural.
Implantes de 800 cc a la misma paciente.
Fotos de paciente a quien en otra Clínica se le colocaron implantes de 340 cc inicialmente en mala posición (muy altos dejando el polo inferior desocupado), la paciente quiere un seno mas grande y mas natural. Decidí colocar unos implantes mas grandes (525 cc) en plano dual logrando una forma mucho mas natural y un buen tamaño a mi parecer. Sin embargo la paciente quiere un tamaño mayor por lo cual se cambia a unos implantes de 800 cc en el mismo plano que dejo satisfecha a la paciente.

MALA POSICION DEL IMPLANTE

Fotos antes y después de recolocación de implantes mamarios. La paciente buscaba que se le colocara un implante en gota para tener una caída del seno mas normal. Pero en realidad la causa de la forma anormal era lo altos que estaban los implantes y no se había liberado el músculo abajo como se ve en el esquema del plano dual. Al cambiar los implantes por unos un poco mas grandes, liberar el músculo, bajar el surco y ubicar los implantes en plano dual; la forma resultante es mucho mas natural.

CONTRACTURA CAPSULAR

Una vez se termina la cirugia el cuerpo empieza a cicatrizar, y es muy difícil controlar ese proceso el cual varia entre los pacientes. Todos los pacientes desarrollan una cápsula de tejido fibroso alrededor del implante llamado cápsula. Esa cápsula es normal y no causa problemas en la gran mayoría de los pacientes.
Que tan fuerte es la cápsula varia de paciente a paciente. En general es diferente para cada seno. El riesgo de que se forme una cápsula "fuerte" que deforme el seno o que duela es del 3% en el primer año después de la cirugia. Si no se forma la cápsula fuerte en ese primer año, el riesgo se habra superado en un 90%, sin embargo el riesgo siempre estará allí.
Si se forma la cápsula fuerte hay que esperar por lo menos 6 meses antes de operar. Si a pesar de masajes y medicamentos la cápsula persiste lo que se debe hacer es retirar el implante con la capsula y cambiar el implante.
Como la cápsula se produce por las características especiales de cicatrización de cada persona, el riesgo que la cápsula vuelva a aparecer es del 30 al 40%. Si la cápsula vuelve a aparecer después de haber retirado el implante y la cápsula, solo hay dos opciones:
1. Retirar los implantes definitivamente sin cambiarlos.
2. Dejar los implantes y convivir con ellos.
No es recomendable intentar nuevas cirugías pues las complicaciones van a agravar el problema.

  • SpearSL,MurphyDK,SlictonA,WalkerPS;InamedSilicone Breast Implant U.S. Study Group. Inamed silicone breast implant core study results at 6 years. Plast Reconstr Surg. 2007; 120:8S–16S; discussion 17S–18S.
  • Cunningham B. The Mentor Study on Contour Profile Gel Silicone MemoryGel Breast Implants. Plast Reconstr Surg. 2007;120:33S–39S.
En la figura de arriba se han superpuesto la foto tomada desde abajo de la paciente acostada inmediatamente antes de la cirugia para cambiar los implantes (arriba) y los implantes que se retiraron (abajo). El implante de la derecha de la paciente estaba contracturado dando una forma muy redondeada al seno, al retirarlo se dejo la cápsula adherida al implante (flecha).

En la foto de arriba se ve la cápsula que esta rodeando al implante que escasamente se puede ver donde esta señalando la flecha.
En la foto de arriba se muestran por separado del implante y la cápsula. La forma del implante retorno a la normalidad una vez se le quito la cápsula que lo envolvia.

En el video de arriba vemos el momento en el cual se saca la prótesis de la cápsula. Cuando hay una contractura capsular severa es fácil sacar la prótesis y la cápsula en "bloque".
Al hacer la capsulectomía ls riesgos de sangrado aumentan por lo que en general dejo un dren los primeros días.
Cuando esa cápsula aprieta al implante, deforma al seno y causa dolor, hablamos de una capsula grado IV. En casos severos como este, es necesario retirar el implante con la mayor cantidad de capsula posible y cambiarlo.
Fotos antes y después de cirugia para cambio de implantes y mamopexia vertical. Los implantes estaban encapsulados, muy superficiales y arriba; el seno caído con exceso de piel; y la areola muy grande. Se colocaron los implantes sub-musculares, y se reorganizo el tejido mamario alrededor de ellos.

SEROMA

El seroma es una colección de liquido alrededor del implante que hace que se los senos sean asimétricos y a veces dolorosos.
El liquido del seroma se puede drenar con una aguja guiada con ecografia pero con frecuencia vuelve a aparecer.
Es importante descartar contaminación del liquido o presencia de células del Linfoma Anaplásico de Células Gigantes. El tratamiento final es el cambio de la prótesis dejando un drenaje por unos dias.
HOY EN DIA (2019) SE DEBE EXAMINAR EL LIQUIDO DEL SEROMA TARDIO (APARECE DESPUES DE UN ANO DE LA CIRUGIA) PARA DESCARTAR LINFOMA ANAPLASICO DE CELULAS GIGANTES.

LINFOMA ANAPLASICO DE CELULAS GIGANTES

Una nueva condición relacionada a los implantes mamarios fue descrita en el 2011. Un tipo de linfoma que no es cancer de seno.
En el 2016 la Organización Mundial de la Salud la clasifico como LINFOMA ANAPLASICO DE CELULAS GIGANTES RELACIONADA A LOS IMPLANTES.
La FDA hasta Julio del 2019 había recibido 573 reportes de esta entidad. Las dos principales manifestaciones son el seroma tardío (53%) o una masa en loa cápsula 39% (posiblemente un estadio más avanzado).
Se han reportado 33 muertes relacionadas con este tipo de linfoma. La mayoría de los pacientes se curan con la capsulectomía total bilateral y la remoción de los implantes.
La incidencia de este tumor con implantes Biocell de Allergan se ha calculado en1:2207. La incidencia de este tumor dentro de todos los implantes texturizados es de 1:7000.


Aqui presentamos una serie de conferencias al respecto dadas por el Dr Bermudez.
Durante los últimos 12 años el Dr Bermudez a colocado implantes Allergan CUI. Solo colocó implantes Biocell en casos de reconstrucción mamaria por cancer.

ENFERMEDAD POR IMPLANTES MAMARIOS (BREAST IMPLANT ILLNES)

No es un diagnostico medico oficial, pero estoy seguro que existe. Es el termino usado para la entidad que las pacientes se autoidentifican una serie de síntomas relacionados directamente a los implantes mamarios. Síntomas muy variados como fatiga, dolor torácico, perdida del cabello, dolor de cabeza, trastornos del sueño, ansiedad, dolores crónicos, depresión, rash, problemas neurológicos y endocrinologicos.
Al retirar los implantes mamarios en bloque con su cápsula resuelve por completo todos los síntomas.

INFECCION

INFECCION
La infección puede ocurrir en cualquier paciente y en cualquier procedimiento independientemente de los antibióticos que se usen o la tecnica quirúrgica. En el seno siempre hay bacterias. Siempre se coloca una dosis de antibiotico antes de empezar la cirugia para que se impregnen los tejidos. A pesar de que la recomendación universal es que no se usen antibióticos en el postoperatorio para que no se seleccione la flora bacteriana; yo me siento mas seguro usando los antibióticos por 5 dias mas después de la cirugia.

HEMATOMA

Se define como una acumulación de sangre en los bolsillos que se crearon para colocar el implante, que ocurre las primeras horas después de la cirugia. Una ves se detecta se debe drenar. buscar la fuente del sangrado y dejar un drenaje.

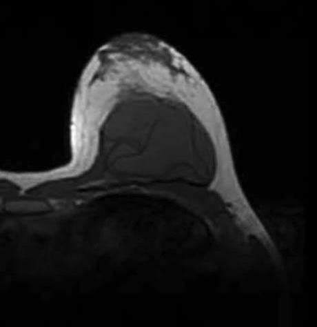
RUPTURA PROTESIS

En la imagined la izquierda se puede apreciar el signo del linguini dentro de la protasis. Este signo se ve en la resonancia nuclear magnética y es la comprobación de ruptura de la prótesis.

OTRAS


Hoy en día con las prótesis de nuevas generaciones las posibilidades que se desinflen son muy bajas. Las de solución salina tienen una posibilidad del 1% por año y las de gel de silicona (actual) del 0.2% por año.
Si la prótesis no presenta ningún problema no hay necesidad de cambiarla independientemente de tiempo que lleven dentro.


Sus datos no son tomados sin su permiso.